Рак легких стал ведущим онкологическим заболеванием в последнее время. Он является причиной смерти большого количества мужчин и женщин.

Типы рака легких

Это заболевание трудно обнаружить на ранних стадиях, а также методы лечения рака легких на поздних стадиях обычно безуспешны. Стадия IV немелкоклеточного рака легкого – это наиболее распространенный тип рака с оценочным показателем выживаемости 1%, при обнаружении и лечении рака в течение 5 лет. Другой тип мелкоклеточного рака легких является также агрессивным. По данным последних исследований, общая выживаемость у людей с этим типом рака легких по состоянию на 1 января 2014 г. составляет всего 3%.

Что вызывает рак легких

Точная причина рака легких до сих пор неизвестна. Есть некоторые факторы риска, которые играют роль в возникновении злокачественной опухоли.

Факторы риска развития рака легких включают:

  • курение,
  • воздействие загрязненного воздуха,
  • генетика.

Курение - причина рака легких

Основной причиной развития рака легких у мужчин и женщин является курение. В настоящее время около 90% всех случаев рака легких связаны с курением. Вдыхание радона, загрязненного воздуха, токсинов способствуют 10% развития рака легких.

Сигареты и сигаретный дым содержит более 70 канцерогенных химических веществ (канцерогенов). Некоторые из канцерогенных веществ, обнаруженных в сигаретном дыме, включают:

  • свинец (очень ядовит металл),
  • мышьяк (инсектицид),
  • кадмий (компонент батареи),
  • изопрен (используется для изготовления синтетического каучука),
  • бензол (бензин).

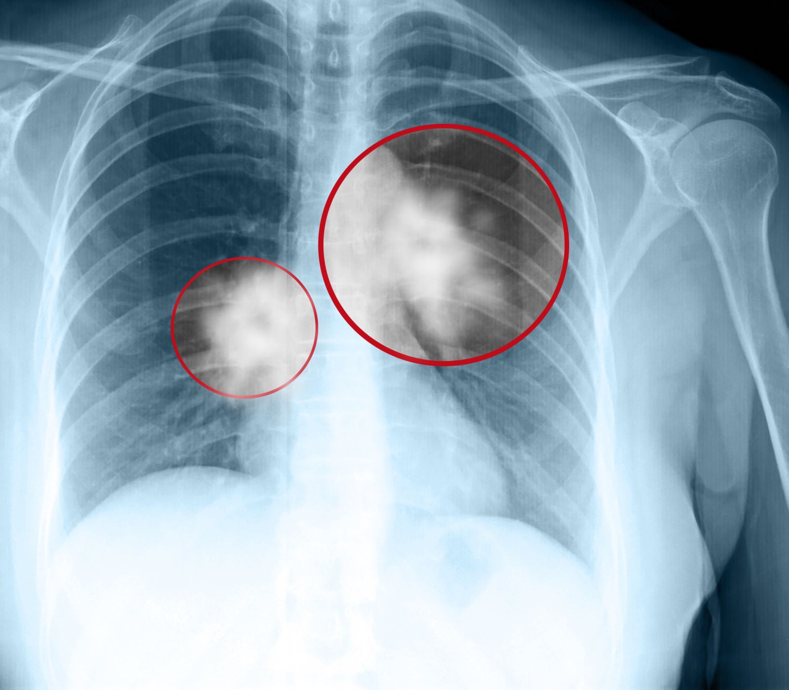
Симптомы рака легких

К сожалению, рак легких часто либо совсем не имеет ранних симптомы, либо имеет неспецифические ранние симптомы, которые люди часто не замечают. Около 25% людей с раком легких не наблюдают каких-либо симптомов, а заболевание диагностируется после рентгена грудной клетки или КТ во время обычной плановой проверки.

Симптомы рака легких, которые могут быть обнаружены, это:

  • кашель (хронический, рецидивирующий),
  • усталость,
  • потеря веса,
  • одышка или свистящее дыхание,
  • кашель с мокротой, который содержит кровь,
  • боль в груди.

Стадии рака легких

После того, как выявляется тип рака легкого, диагностируется его стадия. Стадия показывает, насколько рак распространился в организме (например, в лимфатические узлы или в отдаленные органы, такие как мозг). Этапы немелкоклеточного рака легкого отличаются от мелкоклеточного рака легкого.

Мелкоклеточный рак легких: стадии

Лимитированная стадия: в этой форме мелкоклеточный рак легкого ограничен с одной стороны грудной клетки, как правило, он находится в легких и лимфатических узлах. Примерно один из трех человек с раком легких имеют именно мелкоклеточный тип заболевания.

Широкая стадия: это мелкоклеточный рак легких, который распространился в обоих легких, лимфатических узлах или в других частях тела.

Немелкоклеточный рак легких: стадии

Скрытая стадия: на этой стадии, раковые клетки появляются в мокроте, выявленные с помощью анализа, хотя никакого местоположения опухоли не найдено.

Стадия 0 (рак на месте): На этой стадии рака легкого раковые клетки можно найти только в верхнем слое клеток, выстилающих дыхательные пути. Они еще не распространились за пределы дыхательных путей.

Стадия I: небольшая опухоль (менее 3 см в диаметре) обнаруживается, но не распространяется на окружающие мембраны легких, лимфатические узлы, основные бронхиальные ветви легких.

Стадия II: рак легких распространился на лимфатические узлы вблизи легких.

Стадия IIA: если опухоль находится в пределах 3-х сантиметров до 5 сантиметров, рак легкого определяется как стадия IIA.

Стадия IIB: если опухоль рака легкого составляет от 5 сантиметров до 7 сантиметров, она классифицируется как стадия IIB.

III Стадия: рак легкого встречается в обоих легких и лимфатических узлах в середине грудной клетки. Стадия III рака легких делится на две подкатегории:

  • Стадия IIIA: определяет рак легких, который распространился на той же стороне груди, откуда и начался.
  • Стадия IIIB: определяет рак легких, который распространился либо на противоположной стороне груди, либо над ключицей.

Стадия IV: это наиболее запущенная стадия рака легких. Рак может быть любого размера, но произошло следующее:

  • Рак распространился на противоположное легкое.
  • Раковые клетки были обнаружены в жидкости, окружающей легкие.
  • Раковые клетки были обнаружены в жидкости, окружающей сердце.