Почему болит голова?
Твоё видение размыто
Вы можете почувствовать головную боль, когда попытаетесь сфокусировать взгляд на чем-то возле своего лица. Если вы дальнозорки, все выглядит нечетко, когда вы приближаете к глазам предметы или текст. Это может быть из-за того, что ваше глазное яблоко слишком короткое или прозрачное покрытие на глазу, называемое роговицей, слишком плоское. Вы можете родиться с этим, но это начинает происходить с большинством людей после 40 лет. Ваш доктор может помочь с очками, контактными линзами или операцией, которая исправляет форму вашей роговицы.
Вы напрягли шею и плечи
Вы часами сидите за компьютером или держите телефон возле уха плечом? Или, может быть, стресс заставляет напрягать мышцы челюсти. Любая из этих причин может вызвать «головную боль напряжения». Горячий душ, грелка и безрецептурные лекарства могут помочь. Регулярные упражнения вместе с медитацией и другими расслабляющими мероприятиями могут остановить симптомы до того, как они начнутся.
Ты голоден
Может быть, вы давно не ели. Это может спровоцировать низкий уровень сахара в крови, понижение которого вызывает головную боль. Этого можно избежать питаясь дробно в несколько небольших приемов пищи вместо трех больших и перекусывать здоровыми закусками, такими как орехи или овощи, для чрезвычайных ситуаций.
Вы пропустили свой утренний кофе

Ваше тело привыкает к кофеину и напоминает вам пульсирующей головной болью, если вы забыли выпить свою обычную чашку. Когда кофе нет под рукой, подойдет зеленый или черный чай или даже темный шоколад. Если вы хотите отказаться от привычки употреблять кофеин, не делайте этого сразу. Сократите примерно на 25% в неделю, чтобы привыкнуть к этому.
У тебя был секс

У вас может быть тупая боль в шее или голове, которая усиливается, когда вы становитесь более сексуально возбужденными. Или это может быть пульсирующая головная боль, которая прибывает быстро, как только вы достигли кульминации. Некоторые люди чувствуют и то и другое, большинство последних минут, но это не длится часами. Обычно беспокоиться не о чем, но об этом случае стоит немедленно сообщить своему врачу, если у вас болит голова во время или после секса, особенно если этого никогда ранее не было или это внезапно случилось. Это может быть признаком чего-то серьезного.
В ваши пазухи опухли

Простая простуда может воспалить полости позади ваших скул и лба. Отек может вызвать боль, которая усиливается при наклоне. Может трудно дышать, потому что слизь, которая может стать густой и желтой или зеленой, не позволяет дышать свободно. Лекарства, отпускаемые без рецепта, часто могут помочь вам справиться с этим. Нет необходимости посещать врача, если симптомы не ухудшаются.
Вы слишком много выпили прошлой ночью

Сегодня вы расплачиваетесь похмельем с пульсирующей головой. Это потому, что алкоголь нарушает ваш сон и обезвоживает ваше тело. Вы можете чувствовать усталость и тошноту. Для этого достаточно смешать в течение вечера от пяти до восьми напитков для мужчин и от трех до пяти для женщин. Лечите похмелье водой, бульоном или спортивными напитками.
Противовоспалительные препараты могут помочь, но избегайте ацетаминофена, который слишком сильно воздействует на вашу печень, когда вы пьете.
Вы только что съели мороженое

Иногда это называется «головная боль от мороженого» или «заморозка мозга», это происходит, когда вы едите что-то очень холодное, особенно если вы делаете это быстро. Врачи не уверены, что является причиной этого, но может случиться так, что низкая температура продукта заставляет кровеносные сосуды во рту сокращаться, что вызывает болевые сигналы , поступающие в ваш мозг. Здесь не о чем беспокоиться, всё обычно проходит через минуту или около того. Профилактика проста: едите очень холодную пищу медленнее.
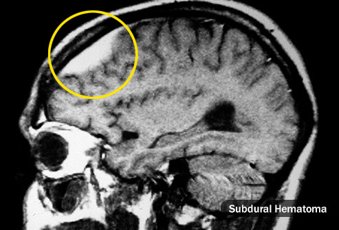
Вы ударились головой

Головные боли могут начаться сразу или через несколько месяцев после травмы. Они могут быть на месте удара или по всему черепу и могут усиливаться, когда вы находитесь в состоянии стресса. Причина не всегда ясна, но иногда слишком много крови накапливается в одном месте. Это называется гематомой. В серьезных случаях вы можете чувствовать себя слабым, растерянным, забывчивым и вас может тошнить. Обратитесь к врачу, если у вас есть какие-либо из этих симптомов или если у вас после удара болит голова.
У вас ушная инфекция

Бактерии или вирус могут заразить заполненное воздухом среднее ухо, где крошечные кости вибрируют, чтобы издавать звуки, которые вы слышите. Обычно это происходит быстро. Накопление жидкости может вызвать боль в ушах и голове, а также отток жидкости, крови или гноя. Если вы заметили какой-либо из этих симптомов, обратитесь к врачу, который может помочь вам справиться с болью и отеком.
Большинство случаев выздоравливают без лечения через 1-2 недели.
Вы переусердствовали с обезболивающими

Даже обычные безрецептурные препараты, такие как аспирин, ибупрофен и ацетаминофен, могут вызывать головные боли, если вы используете их более 15 дней в месяц. Отпускаемые по рецепту опиоиды или наркотики с кофеином могут сделать это всего за 10 дней. Люди, которые страдают мигренью, чаще сталкиваются с этой проблемой. Врач может помочь вам скорректировать ваши лекарства и предложит вам другие методы лечения, чтобы вы чувствовали себя лучше.
Вы съели продукт, вызывающий у вас головную боль

Все люди разные, но есть продукты, которые могут вызвать пульсирующую боль, это:
- - Выдержанный сыр
- - Некоторые фрукты и орехи
- - Алкоголь
- - Продукты с нитратами, такие как хот-доги, колбаса или бекон
- - Ферментированные или маринованные продукты, такие как квашеная капуста
- - Усилитель вкуса под названием MSG
Вы можете выяснить свои продукты, запускающие головную боль, если вы отслеживаете, что и когда вы едите, в дневнике питания и замечаете, что приводит к головной боли.
Вы только что отработали

Ваша голова можете болеть с обеих сторон, когда вы тренируетесь или после того, как вы закончите. Бег, плавание или тяжелая атлетика могут привести к этому. Обычно не о чем беспокоиться, но лучше проконсультироваться с врачом, чтобы убедиться, что это не что-то серьезное.
Немедленно обратитесь за медицинской помощью, если вас тошнит, вы теряете сознание или у вас двоится в глазах.
У вас неудобная подушка

Это может вызвать у вас головную боль, если всю ночь вы будете спать в неправильном положении. И если вы ворочаетесь, недостаток сна также может привести к пульсирующей боли в голове. Ищите подушку, которая держит голову и шею на одной линии с остальным телом, как будто вы стоите. Поговорите с врачом-ортопедом или физиотерапевтом, если вы не чувствуете себя комфортно.
Когда звонить 112

- - Онемение или слабость с одной стороны вашего лица или тела
- - Искаженная или путающаяся речь
- - Головокружение, потеря равновесия
- - Потеря сознания